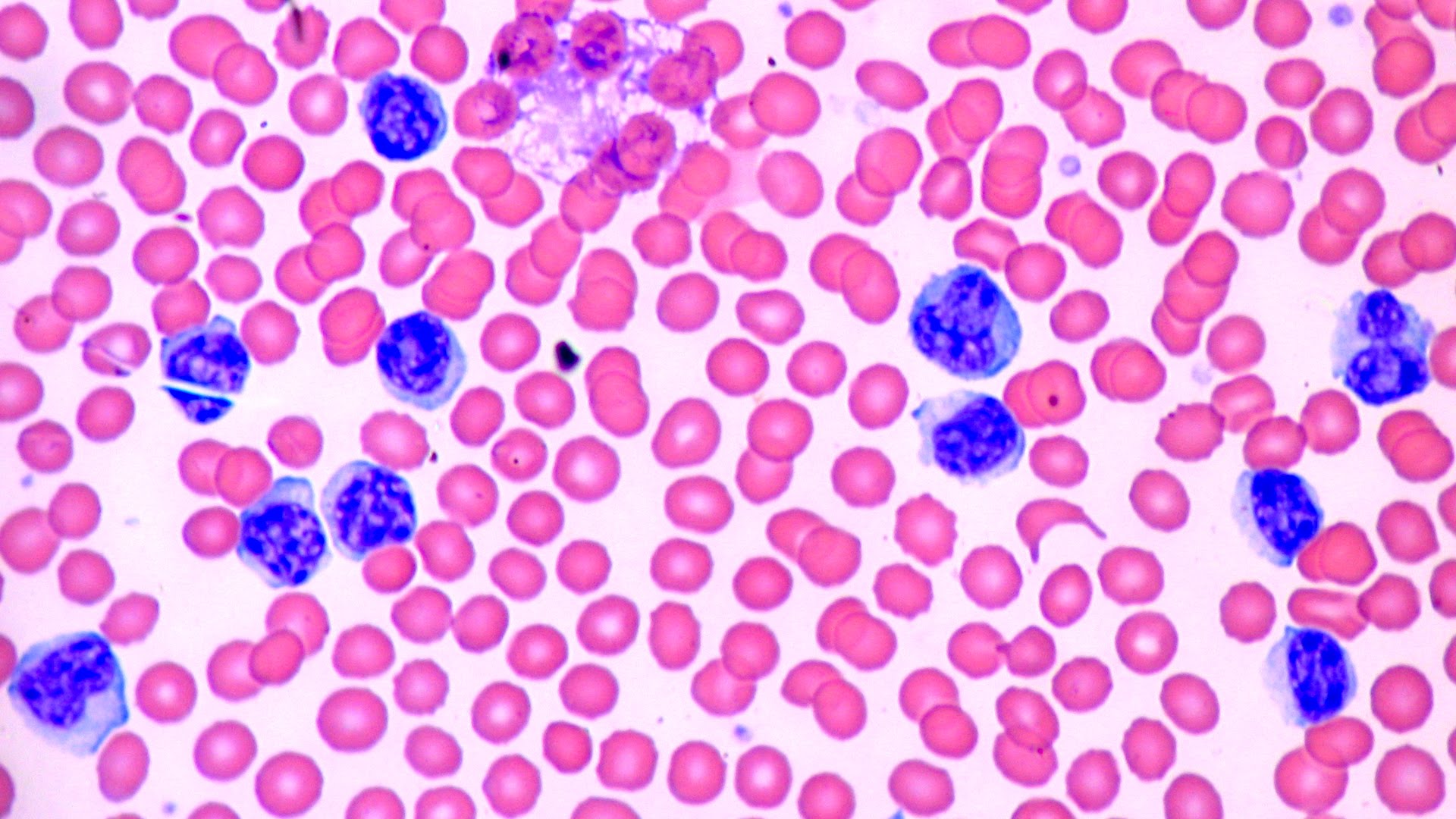
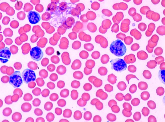
Como parte del sistema inmune, es posible encontrar a los linfocitos, un tipo de glóbulos blancos que asumen la labor de protegernos frente a la acción negativa de virus, gérmenes, bacterias y demás agentes externos que de alguna manera puedan afectar nuestra salud y bienestar. Puesto que las analíticas de sangre son las pruebas que nos dan cuenta de sus valores, en ocasiones pueden darse ciertos desequilibrios y es así como se presentan los linfocitos altos, una condición denominada más exactamente como linfocitosis y que por supuesto cuenta con sus respectivas causas y tratamiento.

Al hablar de linfocitos altos se infiere que sus niveles superan las 4.000 unidades por microlitro de sangre en los adultos, 7.000 unidades por microlitro de sangre en los niños y las 9.000 unidades por microlitro de sangre en los bebés, una situación que definitivamente demanda la intervención médica para establecer los respectivos pasos a seguir.

Qué significan los linfocitos altos

Cabe anotar que los recuentos excesivamente altos de linfocitos que suelen perdurar por mucho tiempo son los que permiten llegar a establecer la linfocitosis como la condición que viene manejando el paciente, sin embargo es importante no perder de vista que aunque este desequilibrio es casi siempre temporal, suele llevar implícito la existencia de una enfermedad subyacente, la cual de la mano de pruebas especializadas y la correspondiente historia médica se podrá identificar y tratar.

Así pues, las causas de los linfocitos altos más comunes suelen ser la gripe, la mononucleosis, las paperas, el cáncer de la sangre, la tuberculosis, la tosferina, la vasculitis y el VIH/SIDA entre otros. Del mismo modo, aunque los resultados de valores altos en el conteo de estas células puede preocupar bastante, es fundamental recordar que simplemente se nos está alertando sobre una reacción por parte de la respuesta inmune del organismo y esta aunque merece de la correspondiente atención no siempre debe interpretarse como un grave riesgo para la salud.

Algunos síntomas de los linfocitos altos

Generalmente no existe una sintomatología específica que pueda ayudarnos a reconocer el aumento de los linfocitos, ya que este desequilibrio solo se hace evidente en las pruebas de sangre. De lo que si podemos darnos cuenta es de los signos que manifiesta la enfermedad que ha causado el aumento de estos glóbulos blancos, siendo los siguientes los más recurrentes: debilidad física, fiebre, pérdida inexplicable de peso, dificultad para concentrarse, mareos, sudoración, aparición de moretones y entumecimiento de extremidades.