El resfriado común bien podría ser considerado como la enfermedad más famosa de todas. No por su repercusión ni sus efectos, sino simplemente porque, ta…
En el pasado no se hablaba demasiado de ella, pero últimamente se ha puesto muy de moda. La espelta ha adquirido para muchos el aspecto…
Parte natural en el ser humano es la de actuar a raíz de impulsos o estímulos. Eso está claro. ¿Pero de dónde provienen estas reacciones?…
La alergia a los ácaros es relativamente común en poblaciones de todas partes del mundo, principalmente la alergia a los ácaros del polvo, los cuales…
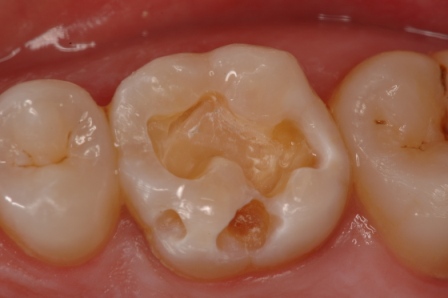
Áreas de los dientes como el esmalte se ve debilitado en su parte externa, ya que pierde sustancia y está perdida progresa hasta invadir la…